本文へスキップ

三重県松阪市にある動物病院です。

TEL. 0598-67-0206

〒515-0212 三重県松阪市稲木町1142-2

がんの治療選択肢

  @外科的摘出
  A抗がん剤治療・分子標的薬治療
  B放射線療法
                  ... がんの3大療法

3大療法以外のがんに対する治療選択肢に関して主に紹介します。

色素を用いた治療

インドシアニングリーンという光を吸収する色素を用い、腫瘍を死滅させます

インドシアニングリーン

この色素を、腫瘍の内部・周辺に注射し、レーザー光を当てることにより、その部分が死滅する。光感受性の抗がん剤を混ぜて行うこともできます。

欠点
腫瘍の形状によっては、色素の注入を狙い通り行うことが難しく、腫瘍の縮小が不十分なこともある。

 
皮膚肥満細胞腫の外科的切除への応用   皮膚の肥満細胞腫の手術時に、腫瘍に触れることにより放出される可能性のあるヒスタミンなどの全身的な悪影響を予防する目的で、手術開始前に使用する。




凝固治療

腫瘍にレーザーの凝固治療用端子を挿入し、照射することで腫瘍を死滅させます。
腫瘍の大きさ、位置によっては麻酔を必要としません。

口腔内腫瘍
 処置前  処置一週間後
凝固治療 処置時の動画へ >> 
このケースでは、腫瘍の発生部位が口腔内の為、
鎮静下でレーザー処置を行っています。
 
乳腺腫瘍
 処置前  処置後
数日かけて、だんだん小さくなっていきます。
 
腫瘍の縮小具合を評価し、
必要により再処置を検討します。
 



ハイパーG法・サーミア温熱療法

ハイパーG法

腫瘍に対する免疫を高める処置を行います。

サーミア温熱療法





ICG修飾リポソーム

ICG修飾リポソームを用いて、腫瘍を治療します。


  • 治験段階の為、公開が制限されております




外科的摘出

麻酔下で、外科的に腫瘍を取り除きます。

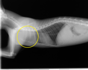
腹腔内腫瘍
術前のレントゲン写真
(黄色の丸の部分が腫瘍)
 摘出した腫瘍



抗がん剤治療・分子標的薬治療

抗がん剤や分子標的薬を用いて、治療します。

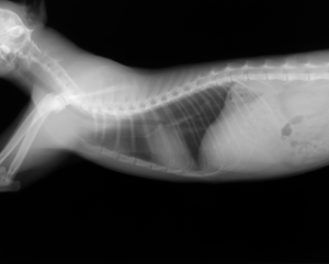
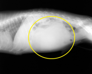
胸腔内(前縦隔)腫瘍
 多剤併用療法
治療前 治療後
腫瘍(黄色の丸の部分)がなくなり、圧迫されていた気管も元の位置に戻っています。
腫瘍がレントゲンやエコー検査などで、確認できなくなっている状態(寛解)です。
寛解後も、この状態を維持する為に、必要により、治療を継続します。





バナースペース

小山動物病院

〒515-0212
三重県松阪市稲木町1142-2
TEL 0598-67-0206